Understanding the necessity of tooth extraction is a crucial aspect of dental health, and in Spring Branch, it's no exception. While preserving natural teeth is always the goal, there are circumstances where extraction becomes necessary to maintain overall oral well-being. This article delves into the essential information you need to know about tooth extraction in Spring Branch, shedding light on when and why it may be required, the procedure itself, and what to expect during the process.
What Are The Most Common Reasons For Needing Tooth Extraction In Spring Branch, TX
Understanding the most common reasons for needing tooth extraction can help individuals prioritize their oral health and seek timely intervention when required. Here are the prevalent reasons for tooth extraction in Spring Branch, TX.
Severe Tooth Decay
Extraction becomes necessary when tooth decay has progressed to a point where the tooth's structure is severely compromised and cannot be effectively restored.
Gum Disease
Advanced gum disease, known as periodontal disease, can lead to tooth mobility and bone loss. Extraction may be recommended when the supporting tissues are significantly damaged.
Impacted Wisdom Teeth
Wisdom teeth, or third molars, often lack sufficient space to fully emerge properly. When impacted, they can cause pain, infection, or damage to neighboring teeth, requiring extraction.
Orthodontic Treatment
In cases of severe dental crowding or misalignment, a dentist may suggest tooth extraction as part of orthodontic treatment to create space for proper tooth alignment.
Trauma Or Injury
Traumatic injuries to the mouth can result in extensive damage to a tooth. When the damage is irreparable, extraction may be the only viable option to address the injury.
Failed Root Canal
In situations where a root canal treatment has failed, or complications have arisen, extraction may be considered to resolve the ongoing issue and prevent further infection.
Preventative Measures
Proactive extractions are sometimes recommended as a preventative measure in high-risk cases where the potential for infection or complications is elevated, preserving overall oral health.
Why It's Important To Get Your Tooth Extracted As Soon As The Need Arises In Spring Branch, TX
Getting a tooth extracted as soon as the need arises in Spring Branch, TX, is of paramount importance for several compelling reasons. Timely intervention not only addresses the immediate dental concern but also helps safeguard overall oral health and well-being. Here's why it's crucial to prioritize tooth extraction when required.
Prevent the Spread Of Infection
When a tooth is severely decayed or infected, it can become a source of bacterial growth and infection. Delaying extraction allows the infection to progress, potentially affecting neighboring teeth and surrounding tissues. Prompt extraction halts the spread of infection.
Alleviate Pain And Discomfort
Dental issues such as severe decay, impacted wisdom teeth, or dental trauma often lead to significant pain and discomfort. Tooth extraction provides swift relief from this pain, enhancing the patient's quality of life.
Prevent Complications
Dental problems that necessitate extraction can worsen over time. For instance, impacted wisdom teeth can lead to cysts, infections, or damage to adjacent teeth if left unattended. Addressing these issues promptly through extraction prevents complications from arising.
Maintain Overall Oral Health
Neglecting a tooth that requires extraction can have broader implications for oral health. Infections and dental problems can affect the alignment of adjacent teeth, potentially leading to misalignment issues or bite problems.
Preserve Surrounding Teeth
In cases of severe decay or infection, a compromised tooth can pose a threat to nearby teeth. Extraction removes this potential threat and helps preserve the health of neighboring teeth.
Prevent Bone Loss
The absence of a tooth can lead to bone loss in the jaw over time. Timely extraction followed by appropriate dental restoration, such as implants or bridges, can help prevent this bone loss and maintain facial structure.
Enhance Aesthetic And Functional Aspects
A missing or severely damaged tooth can impact one's smile and chewing ability. Tooth extraction, followed by suitable restorative options, can restore both aesthetics and functionality.
Avoid Emergency Situations
Delaying extraction may result in sudden, severe dental emergencies, such as acute infections or unbearable pain. These emergencies can be more challenging to manage and may necessitate immediate attention.
Reduce Treatment Costs
Addressing dental issues promptly through extraction can be more cost-effective in the long run. Delayed treatment may lead to more extensive and expensive procedures.
Tooth extraction is a crucial dental procedure, and when you need expert care in Spring Branch, TX, you can rely on experienced professionals, such as the ones at Bulverde North Family Dental. Their skilled team understands the importance of timely and precise extractions to ensure your oral health and comfort are prioritized.
How To Find A Dentist In Spring Branch, TX, That Specializes In Tooth Extraction And Can Provide The Care You Need
Finding the right dentist in Spring Branch, TX, who specializes in tooth extraction and can provide the care you need, is essential for your dental health. Begin your search by seeking recommendations from trusted sources such as friends, family, or your primary care dentist. These personal referrals can provide valuable insights into the reputation and reliability of potential dentists in your area.
In addition to word-of-mouth recommendations, take advantage of online resources to further narrow down your choices. Browse online reviews and ratings on platforms like Google, Yelp, or Healthgrades to gather feedback from other patients who have undergone tooth extraction procedures. This can offer valuable insights into the patient experience and overall satisfaction with a particular dentist.
Dental association directories, such as the American Dental Association (ADA) or local dental societies, can also be instrumental in identifying qualified professionals. Dentists who are members of these associations often adhere to high ethical and professional standards, giving you added confidence in their expertise.
When evaluating potential dentists, take the time to conduct in-depth research. Inquire about their specific experience with tooth extractions, especially in cases similar to yours. Ask about the techniques they employ, whether they use advanced technology for precision, and how they prioritize patient comfort throughout the extraction process.
To gain a better understanding of the dentist's approach and the atmosphere of their practice, consider scheduling consultations. During these meetings, discuss your specific needs and concerns, and pay attention to how the dentist and their team address them. An open and transparent dialogue is crucial in ensuring that you feel heard and understood.
Ultimately, choose a dentist who not only possesses the necessary expertise but also creates a supportive and reassuring environment for your dental care. The right dentist will guide you through the tooth extraction process with confidence and compassion, prioritizing your oral health and comfort at every step.
What Is The Process Involved In The Entire Tooth Extraction Procedure In Spring Branch, TX
Understanding this procedure can help alleviate any anxiety and provide clarity for patients undergoing this dental treatment. Here is an overview of the process involved in a typical tooth extraction.
Initial Examination
Your dentist begins with a comprehensive assessment, evaluating the tooth's condition and possibly utilizing X-rays for precise planning, ensuring the most appropriate extraction approach.
Local Anesthesia
Before the actual extraction, your dentist administers local anesthesia to the targeted area, effectively numbing it to guarantee a pain-free and comfortable experience throughout the procedure.
Tooth Extraction
Using specialized dental instruments, your dentist gently and skillfully removes the tooth, taking into careful consideration factors such as its location and condition. This approach can vary between simple extractions for visible teeth and surgical extractions for more complex cases like impacted or deeply rooted teeth.
Post-Extraction Care
After the tooth is successfully removed, patients receive comprehensive instructions on managing potential post-extraction issues. This guidance covers how to control and address potential bleeding, swelling, and discomfort, all crucial elements for a smooth and uneventful recovery.
Recovery
Patients actively participate in their recovery by diligently adhering to post-extraction care guidelines. This includes maintaining proper oral hygiene practices and adhering to dietary restrictions that promote healing and minimize complications.
Follow-Up
In certain circumstances, a follow-up appointment may be scheduled to closely monitor the progress of healing and promptly address any concerns or questions that may arise. These follow-up visits play a pivotal role in ensuring a successful outcome and the overall well-being of the patient.
Contact A Dentist In Spring Branch, TX
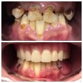
Understanding the necessity of tooth extraction is essential for maintaining optimal oral health and well-being. Whether it's addressing severe decay, impacted wisdom teeth, or other dental issues, this procedure plays a crucial role in preventing complications, alleviating discomfort, and preserving the integrity of your smile.
If you're in Spring Branch, TX, and seeking expert dental care, including tooth extraction, look no further than Bulverde North Family Dental in Spring Branch, Texas. Their experienced team is dedicated to providing top-notch dental services, ensuring your oral health is in capable hands. Contact them to learn more.






